記者黃村杉/新北報導

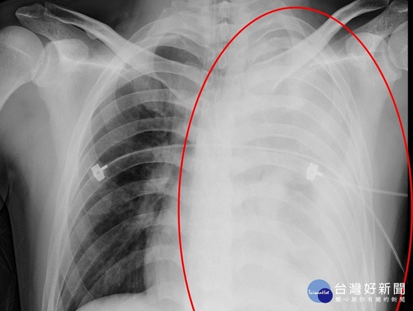
衛福部臺北醫院27歲陳先生騎機車出車禍,沒有明顯外傷但感覺左肩疼痛,送醫經初步X光及胸腔電腦斷層顯示肋骨骨折,合併輕微氣胸且有微量的胸腔積液。由於意識清楚、精神不錯且血壓、心跳正常,陳先生原本想直接回家,但醫師建議住院觀察一段時間。沒想到三個小時後,陳先生突然昏迷,立即安排血管攝影式的電腦斷層顯影檢查,及時發現左鎖骨下血管斷裂的部位,透過心導管定位及胸腔鏡手術迅速止血之後,救回一命。
胸腔外科林振嵩醫師表示,此案例比較特殊,並非是肋骨斷裂處出血,而是肺尖與鎖骨下動脈有新生血管斷裂出血,推斷是在出車禍瞬間發生氣胸,後續的肺塌陷扯斷此血管。當胸部受到撞擊時,雖然沒有外傷,但間接傷害可能造成氣胸,每十個氣胸病人可能其中一人會併發血胸,若嚴重則會造成肺部塌陷而休克致命,必須緊急進行開胸手術或是用胸腔鏡進行止血。若能及時處理,大多數的血胸病人都能恢復,且不會留下後遺症。透過心臟外科與胸腔外科團隊的合作,提供最快速、最適切的醫療,讓病人沒有後遺症順利恢復健康,是創傷團隊最大的肯定。
林振嵩醫師指出,胸腔鏡手術好處包括傷口小、疼痛感減少、術後恢復快且併發症也相對減少,是近十五年來發展的微創開胸手術技術,運用於各項的胸腔手術、肺癌、食道癌,以及其他胸腔腫瘤的手術切除,是胸腔外科手術的標準技術。
林振嵩醫師提醒血胸是醫界公認危險且可能致命的情況,可怕之處在肋膜腔的出血無法從外觀判斷出血有多嚴重,時間是重要的關鍵,如果未能及時處理,往往會有生命危險。因交通事故而送醫的民眾,即使感覺自己沒有很不舒服並不需要住院,也務必重視醫師的建議,經醫師確認觀察沒有問題後再離開醫院。



留言評論